近日,斯里兰卡62岁的退伍士兵Canistus Coonghe,在科伦坡陆军医院进行了一次大手术,移除了世界上最长、最重的肾结石。这颗肾结石长度达到了13.37厘米(正常男性肾脏为10-12厘米),重量为801克,是普通成年男性肾脏重量的5倍以上,成功打破了最长肾结石和最重肾结石的两项吉尼斯世界纪录。先前最重肾结石的记录是2008年巴基斯坦男子创造的616克(1.36磅)。而最长的肾结石测量长度为5.11英寸(13厘米),于2004年从印度男子身上手术取出。

图1 外科医生Kugadas Sutharshan博士取出了一块 长13.37厘米,宽10.55厘米的肾结石(图源:网络)
外科医生Kugadas Sutharshan博士表示:“患者自述,2020年以来一直感到腹痛,吃药也无济于事。通过检查我们发现患者体内存在巨大的肾结石,而且这颗葡萄柚大小的肾结石位于患者右肾中,但器官功能正常。”

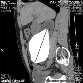
图2 患者肾结石影像图片(图源:网络)
肾结石(也称为肾积石、肾石病或尿石病)是由矿物质和盐在肾脏内形成的坚硬沉积物。导致肾结石有许多原因,包括饮食、超重、某些医疗状况以及某些补剂和药物。通常情况下,当尿液浓缩时,使矿物质结晶并粘合在一起,就会形成结石。排出肾结石会很痛苦,但如果及时发现,这些结石通常不会造成永久性损害。在其他情况下,如结石卡在尿路,并伴有尿路感染或引起并发症,则可能需要手术治疗。
预防肾结石最好的方式,要遵守以下饮食习惯:
01 多喝水
不管是何种成分的肾结石,都建议多喝水来维持每天2.5公升的尿量 。
02 摄取足够的钙质
研究显示低钙饮食习惯反而会增加肾结石的形成,这是因为消化道无法提供足量的钙质来与饮食中的草酸结合,就会造成体內草酸浓度上升,导致尿液中草酸量上升,而增加了结石的机会。
03 减少高钠摄取
高钠饮食会增加尿液中的钙含量,而尿中的钙分別会和草酸及磷酸结合,形成草酸钙及磷酸钙结石。
04 减少高嘌呤、高蛋白的摄取量
因为尿液中尿酸有二个主要来源,一个就是体內核酸的分解、另一个就是高蛋白及高嘌呤饮食习惯所形成的。因为高蛋白饮食会增加尿液中钙及尿酸的排出量,反而减少尿液中柠檬酸的浓度,就会影响尿液中的酸硷值,增加了肾结石的风险。
05 低草酸饮食
摄取过多草酸的食物会影响到矿物质钙、镁、钾的吸收,所以在摄取钙质的时候,要避免同时食用富含草酸的食物,像是茶、啤酒、草莓、葡萄、巧克力、菠菜、芹菜、芥菜、韭菜、杏仁、腰果等食物,才能让吃进体內的钙被身体充分吸收,不因钙质缺乏而增加结石的机会。
06 高柠檬酸饮食
多食用高柠檬酸饮食,像是柠檬、青柠、柳橙水果是可以减少肾结石发生的,这是因为柠檬酸会在尿液中和钙结合,因而尿液中的钙离子浓度,进而降低肾结石的发生率,加上柠檬酸也会与草酸钙结晶结合,可避免草酸钙结晶在体內形成结石。
