首页
技术研究
产业动态
人物访谈
活动发布
首页
/
技术研究
/
全部
基因治疗
免疫治疗
基因检测
COVID-19
靶向疗法
AI
精准医学
生物工艺
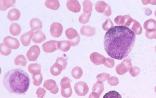
NEJM:治疗白血病,全反式维甲酸联合砷剂疗效优于联合化疗
近20年间,全反式维甲酸(ATRA)和三氧化二砷应用于初治急性早幼粒细胞白血病疗效显著。英国国立肿瘤研究所的结果明显表明:非高风险的急性早幼粒细胞性白血病患者,全反式维甲酸—三氧化二砷治疗效果优于标准的全反式维甲酸—化疗方案。
白血病
全反式维甲酸
砷剂
疗效
联合化疗
2016-05-19
新鲜出炉 | 《中国心血管病报告2015》发布,“早死”现象亟需重视(附图解)
5月10日,由国家心血管病中心组织编撰的《中国心血管病报告2015》(以下简称年报)正式出炉。报告显示,我国民众的心血管病危险因素普遍暴露,高血压、血脂异常、糖尿病和肥胖的患病率持续增加,必须采取积极有效的措施,遏制心血管病的持续增长态势。
心血管疾病
慢性病
冠心病
2016-05-13
中国药科大学药学院郝海平院长一行考察南京生物医药谷
4月27日上午,为了进一步推动南京生物医药谷与中国药科大学的紧密合作,中国药科大学药学院院长、2011计划建设办公室主任、“天然药物活性组分与药效”国家重点实验室副主任郝海平教授一行5人到生物医药谷考察。
中国药科大学药学院郝海平院长一行考察南京生物医药谷
2016-05-12
千里迢迢赴美求医,结果没有让他们失望 ——视网膜母细胞瘤案例
陈先生夫妇是2014年11月找到我们涵翔医疗,要求提供赴美就医服务的。在这之前,他们已经辗转了北京、上海等一线大城市的多家权威医院。他们的女儿馨馨才2岁,在2014年10月份被确诊罹患视网膜母细胞瘤(以下简称RB),这是婴幼儿中最常见的恶性肿瘤之一,也被称为“眼球杀手”,每年中国有上千名儿童罹患此病。
视网膜母细胞瘤案例
2016-05-12
我国科学家首次证实寨卡病毒感染致小头畸形
5月12日,《细胞—干细胞》杂志在线发表了中国科学院与军事医学科学院合作完成的一项研究。研究人员建立了寨卡病毒小头畸形动物模型,并在全球首次证实寨卡病毒感染能够直接导致小头畸形的发生,该成果也为进一步研究寨卡病毒的致病机制和治疗研究打下了理论基础。
Zika
病毒
小头畸形
基因
2016-05-13
Nature子刊:这五种基因变异会影响冠心病风险
冠心病是现代人类最主要的致死原因之一。来自于冰岛生物技术公司deCODE genetics的研究人员发现,13种罕见基因变异对多种血脂成份的水平有着较大影响。其中, 在PCSK9、APOA1、ANGPTL4和LDLR基因上的五种罕见变异与冠心病的风险相关。
冠心病
基因
血脂
2016-05-16
干细胞抗衰老,牛津大学这次是认真的
5月11日,干细胞疗法领域又迎来了一条重磅的消息。由牛津大学(Oxford University)孵化的OxStem公司宣布完成了总额达2440万美元的融资,投资者中包括了Craig Venter博士、Bob Duggan先生与Mahkam Zanganeh博士等知名的生物技术专家与风险投资人。利用这笔资金,OxStem计划研发一系列与抗衰老有关的药物。
衰老
干细胞
药物
2016-05-13
比对DNA,破解达芬奇密码项目进入“倒计时”
“莱昂纳多项目”(Leonardo Project)将来自意大利、西班牙、法国和美国等国家的遗传学者、系谱专家、考古学家和艺术历史学家带到了一起。科学家团队尝试从达芬奇的画作和笔记等遗留物中提取其DNA,通过分析并与其后代进行比对,希望揭开达芬奇遗骨之谜。
达芬奇
DNA编码
倒计时
2016-05-16
孕妇补充过多叶酸导致儿童自闭症,是真的吗?
近日,在巴尔的摩召开的2016年自闭症研究国际会议上,研究者公布了一项最新发现:尽管孕妇缺乏叶酸是不利于孩子的发展;但过量的叶酸也会造成伤害,尤其是叶酸水平高的孕妇,其所生育的孩子在成年后罹患自闭症的风险更高。
孕妇
叶酸
儿童
自闭症
2016-05-13
Nature:253名科学家通力合作,74个基因位点与受教育程度有关
由253名科学家组成的一个国际研究小组,通过分析30万例人群样本信息并进行全基因组关联研究,鉴别出了与个体受教育程度有关的74个遗传变异,研究结果发布在5月11日的《自然》(Nature)杂志上。不过在发文作者看来,仅仅以基因来预测一个人,是不负责任的行为。
基因位点
教育程度
通力合作
2016-05-14
首页
1440
1441
1442
1443
1444
1445
1446
1447
1448
下一页
末页
共
3899
页
38985
条
热点搜索