首页
技术研究
产业动态
人物访谈
活动发布
首页
/
技术研究
/
全部
基因治疗
免疫治疗
基因检测
COVID-19
靶向疗法
AI
精准医学
生物工艺
Cell子刊:首次发现无线粒体的真核生物,颠覆教科书
5月12日,Cell子刊《Current Biology》杂志上的一项研究揭示了首个没有线粒体的真核生物,表明了真核生物生命进化分支比预想的要复杂得多。
线粒体
真核生物
2016-05-15
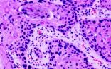
令人震撼的癌细胞特写照,发现和分析癌细胞方式将彻底改变
据每日邮报报道,通用电气公司旗下全球研究中心的科学家们正在研发一种新技术,可以让研究人员看到癌细胞的惊人细节。
癌细胞
2016-05-15
科学家提醒:饿的时候,别冲动做决定
饥饿的时候别轻易做决定?因为当下你可能处于冲动状态。这是来自于瑞典哥德堡大学的科学家们提出的研究结论。他们以老鼠模型,证实饥饿激素容易引发冲动、影响理性决策。
激素
饥饿
食欲
冲动
2016-05-15
Nature:你会不会成为胖子?它可能说了算
5月11日,发表在Nature上的一项研究发现了肥胖形成一种潜在的新生物标志物——神经降压素(Neurotensin ,NT);研究人员表示,NT有望成为肥胖预防和治疗的可能靶点。
Nature
胖子
脂肪
2016-05-13
爱必信(Absin)梯度凝胶优点介绍
凝胶梯度是通过梯度混合器形成的,高浓度的丙烯酰胺溶液首先加入到玻璃平板中,而后溶液浓度呈梯度下降,因此在凝胶的顶部孔径较大,而在凝胶的底部孔径较小。
爱必信
梯度凝胶
蛋白预制胶
2016-05-12
BD Bacto Soytone蛋白大豆胨酵母粉——优宁维
Bacto™ Soytone(大豆胨)是一种不含动物成分的大豆蛋白胨。其保留了大豆植物组织的高维生素和碳水化合物,是一种极好的植物蛋白胨。可使受损的大肠杆菌得到复壮。
BD
Bacto
Soytone
大豆胨
优宁维
2016-05-12
【Nature特刊】越来越开放的药物研发
在药物开发的世界中,保密已经不再像过去那样重要了。随着治疗的研发变得更加困难和昂贵,学术界和企业界的竞争对手已经开始鼓励更多的合作和拥抱开放,以加速研究。5月12日的Nature刊登了特刊OUTLOOK: OPEN INNOVATION。
药物
研发
2016-05-13
Science:益生菌无法让人人受益
通过研究克罗恩病遗传风险因子与肠道细菌之间的相互作用,加州理工学院(Caltech)的研究人员发现了某些患者中这一疾病新的潜在病因,这一信息或许可促进益生菌疗法和个体化治疗的发展。
Science
益生菌
2016-05-13
好医友:世界著名肠癌手术专家-Dr.Zuri A.Murrell,MD
Dr.Zuri A.Murrell是世界著名的肠癌手术专家。现任洛杉矶西达-赛奈医疗中心结肠直肠癌专科主任、比弗利山庄癌症中心结肠直肠癌手术专家。在长达16年的外科实践中,他通过创新的治疗理念和出色的手术效果赢得了极高的声誉。
好医友
肠癌
2016-05-12
关于举办“2016人气实验室” 照片摄影作品征集活动的通知
曾经,你怀揣科研梦想,奔赴实验室;总执着的想象着实验室能陪伴着梦想一起成长,然而,琐碎的实验细节,繁忙的实验过程,渐渐模糊了实验室初见的印象。
人气实验室
摄影作品
征集活动
2016-05-12
首页
1438
1439
1440
1441
1442
1443
1444
1445
1446
下一页
末页
共
3899
页
38985
条
热点搜索