
肿瘤切除手术中,外科医生既要不损伤其他正常组织,还要确保癌变细胞都被清除干净。他们结合影像学、免疫学、病理学等多项检测,确定癌变位置、性质及程度,达到手术“不多不少”的平衡。其中,传统的病理检查需要对肿瘤样本进行形态学、致病机理、病变程度等病理分析,有利于明确诊断并决定治疗方案。但是这一系列过程需要数天时间才能完成。
近期,华盛顿大学、斯坦福大学、纪念斯隆•凯特琳癌症中心、巴罗神经学研究所合作研发出一种开创性设备——微型显微镜,有望缩短癌变组织鉴定时间。相关研究成果发表在《Biomedical Optics Express》期刊。
这款手持式显微镜的优势包括两点:
(1)微型突破:仅仅比钢笔略大一点;(2)“看透”组织:能够从亚细胞水平观察病变组织;
研究人员表示,它缩短了组织病理分析过程,有助于医生在手术过程中实时区分肿瘤和正常细胞,提高手术的效率和精准度。该设备不仅仅可以用于外科手术,还可以用于牙科检查。
如何“雾里看花”,开创实时镜检时代?
目前已有的微型显微镜已达到吹风机般大小。显微镜小型化一直存在图片质量下降的问题。显微镜做小后,看到的图像在视域、分辨率、对比度或者处理速度等方面都不及传统显微镜。
为了打破制约,实现“鱼和熊掌兼得”,研究团队采用“双轴共聚焦显微”技术,能够观察0.5mm厚的非透明组织的内部结构。
研究人员把这项创举比作“在浓雾里开车”。因为大雾弥漫,只能依赖远光灯进行驾驶,无法看得太远。采用共聚焦显微成像,就像又从其他角度打开了雾灯,减少眩光的同时加深了视野。

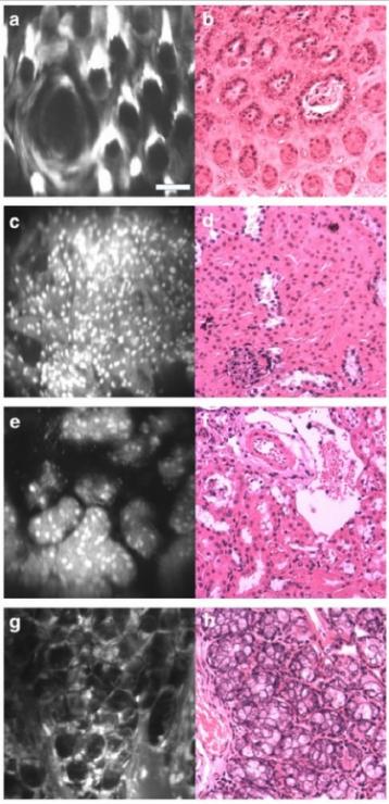
微型显微镜能够在亚细胞水平观察组织内部结构。左图:微型显微镜下获取的样本实时图像;右图:临床病理实验室经过数天处理的镜检图像。
研究人员希望微型显微镜能够作为癌症筛查工作,在未来2-4年内实现临床转化,有望减少不必要的病理分析过程,提高肿瘤切除手术的成功率。
备注:文章编译、整理自Medical News Today网站。
推荐阅读
