原创编译:爱康得生物医学技术(苏州)有限公司医学转化部高级经理Paul Hsu
摘要:
1例难治性多发性骨髓瘤患者,在接受清髓性化疗(马法兰,140mg/m2体表面积)和自体干细胞移植后,进行自体抗CD19嵌合抗原受体T细胞(CTL019)治疗。4年前,这例患者曾接受更高剂量的马法兰(200mg/m2)和自体干细胞移植,获得了短暂的缓解。在自体移植后接受CTL019治疗获得完全缓解,治疗后12个月的最近的一次评估中,没有发现疾病进展的证据,在血清和尿液中没有发现蛋白克隆。尽管患者恶性浆细胞99.95%不表达CD19,但仍然获得了这一响应。(诺华等资助,ClinicalTrials.gov编号: NCT02135406)
重组自体T细胞特异性表达CD19嵌合抗原受体在B细胞肿瘤的治疗中拥有广阔的前景。之前我们报道了,利用慢病毒载体转染自体T淋巴细胞构建的CD3-ζ/CD137抗CD19嵌合抗原受体自体T细胞(CTL019)可使难治性慢性淋巴细胞性白血病和B-细胞急性淋巴细胞白血病获得持续缓解。据报道,多发性骨髓瘤作为B细胞系肿瘤通常不表达CD19,因此CD19不作为多发性骨髓瘤免疫治疗的靶标。然而有一些报告指出,微量的具有耐药性,疾病复发特性的多发性骨髓瘤克隆,具有B细胞表型(即CD19阳性)。此外,在我们尚未公布的观察结果表明,恶性浆细胞表达低水平CD19比之前的报道更加常见,并且在体外,CTL019对CD19表达水平极低的细胞具有细胞毒性。基于这些观察,我们推测CTL019细胞对多发骨髓瘤具有疗效。由于多发性骨髓瘤中仅有小部分表达CD19,我们进一步推测,CTL019仅对进行了CD19阴性浆细胞清除治疗的患者有效。因此我们进行了一项对难治性多发性骨髓瘤患者的临床试验,以检测安全性和可行性,并初步评估输注CTL019联合标准疗法(包括高剂量马法兰和自体干细胞移植)治疗多发性骨髓瘤的疗效。在此,我们报告第一例按照该方案治疗的患者的结果。
病例报告
患者,女性,在2009年,43岁时出现脊椎压缩性骨折后经IgA kappa诊断为多发性骨髓瘤。接受来那度胺,硼替佐米,地塞米松治疗后获得初步缓解,但在暂停用药为自体干细胞移植采集造血干细胞时病情进展。随后接受了顺铂,阿霉素,环磷酰胺和依托泊苷的96小时输注疗法。其后用非格司亭动员并采集造血干细胞。2010年5月14日,患者接受高剂量马法兰(200mg/m2体表面积)并进行了自体造血干细胞移植。根据国际骨髓瘤工作组(IMWG)响应标准,初次自体移植获得了部分响应(图1A)。大约在移植后1个月开始接受来那度胺的维持治疗。约2个月后,患者的血清IgA浓度开始上升,以致需加用硼替佐米(图1A)。在移植后的181天达到IMWG的移植后进展标准。随后的联合治疗方案包括来那度胺,硼替佐米,carfilzomib,泊马度胺,伏立诺他,克拉霉素和elotuzumab。2014年6月在接受了9项一线疗法后,患者加入了CTL019细胞联合自体干细胞移植的临床试验。在第二次移植前,给予2个周期的环磷酰胺(每周期给药剂量1200mg/m2,给药时间不低于96小时),以用来在筛选评估和CTL019制备期间控制骨髓瘤。在第二次移植时(图1A),患者的血清IgA浓度为6310毫克/分升,血清单克隆蛋白浓度(M spike)为6.2克/分升。骨髓活检显示多发性骨髓瘤超过了95%(图2A),复杂的染色体分型,间期荧光的T原位杂交(FISH)法发现TP53缺失,以及1q21的扩增,所有这些都提示多发性骨髓瘤患者预后较差。
方法
研究设计
该试验通过了宾夕法尼亚大学伦理委员会批准,并且按照协定,新英格兰医学杂志可使用该篇文章的全文。所有作者参与了数据的收集和分析,推动了原稿的书写和编辑,并确保数据的完整性和准确性。倒数第二位作者作出了稿件提交出版的决定。本项研究的经费赞助商诺华制药核准了稿件。申请资格包括之前接受过自体移植治疗,依据IMWG标准在最初移植治疗后不足1年疾病进展,以及拥有良好的心肺功能和低温保存的用于第二次移植的自体造血干细胞。如前所述,利用自体白细胞制备CTL019细胞,CTL019目标剂量为1×107~5×107表达嵌合抗原受体的T细胞。研究治疗包括中高剂量马法兰(140〜200mg/m2),自体干细胞回输(≥2.1×106个细胞/kg),以及随后的第12~14天CTL019输注。根据方案,可以选择在移植后100天开始使用来那度胺进行维持治疗。
研究评估
分别在移植前,移植后42天和移植后100天,以及根据临床需要在其他时间点进行血清和尿蛋白电泳,免疫球蛋白定量检测,血清游离轻链检测和骨髓活检。
使用流式细胞术和定量聚合酶链反应(PCR)对骨髓和外周血进行评估,来检测CTL019的植入。用流式细胞术对移植前和移植后的骨髓样本进行检测,以评估CTL019在多发性骨髓瘤浆细胞中的表达和患者移植后的微量残留病灶。进一步使用多发性骨髓瘤浆细胞荧光激发分选(FACS),再通过定量逆转录酶-PCR(RT-PCR)测定CD19的表达。如前所述使用Luminex公司检测方法对血清细胞因子浓度进行测定。最后,作为微量残留的分子检测,用IGH(免疫球蛋白重链基因)的深度测序来确认在基线的骨髓取样中骨髓瘤特异性IGH序列,并确定100天后骨髓样本中它是否还存在。

图1:自体造血干细胞移植后多发骨髓瘤疾病负荷的测定,以及第二次移植后CTL019的频率和活性的测定。
结果
可行性和毒性反应
患者接受140mg/m2剂量(从标准剂量的200mg/m2降低以最大限度减少毒性作用)的马法兰后进行自体干细胞移植。移植相关性毒性反应包括4级白细胞和血小板减少,3级黏膜炎,2级恶心和厌食,中性粒细胞减少发热和金黄色葡萄球菌菌血症。在接受CTL019输注当天(移植后第12天),中性粒细胞绝对数已升至200/立方毫米,患者无发热且无菌血培养超过48小时。CTL019剂量为5×107个表达嵌合抗原受体的T细胞。与马法兰给药前的淋巴细胞绝对数390/立方毫米相比,CTL019输注当天淋巴细胞绝对数840/立方毫米(T细胞占49%)。CTL019输注后,没有发烧或出现细胞因子释放综合征的迹象,炎性反应已在其他CTL019临床试验中被观察到。在移植前患者有低丙种球蛋白血症,这常见于多发性骨髓瘤患者;在移植后100天这一现象仍然存在,这归因于CTL019对正常B细胞和浆细胞的影响。没有观察到其他CTL019相关性不良反应;早期没有特别指出的不良反应都为1或2级。移植后经过100天,所有移植相关性毒性反应已得到处置。在移植后130天使用来那度胺,剂量为5mg/天;由于胃肠毒性反应随后剂量调整为每周2次,每次5mg。

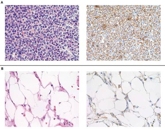
图2:第二次ASCT前2天和第二次ASCT后100天骨髓穿刺活检。
第二次ASCT前骨髓穿刺活检(图A)HE染色(左)和CD138免疫染色(右)显示超过95%为多发骨髓瘤。在第二次ASCT后100天获得的取样(图B)HE染色(左)和CD138免疫染色(右)显示整体细胞密度为1-2%并且没有浆细胞。
单克隆IgA浓度(通过血清蛋白电泳法测定)和血清总IgA浓度在移植后开始下降,并在CTL019输注后进一步下降(图1A)。lgA最低浓度低于下限量(7mg/分升)。在移植后100天骨髓活检显示整体细胞密度1~2%且无浆细胞(图2B)。此时,“严格完全缓解”的所有条件,在IMWG分类中最好的响应类别,都得到满足;除了尿蛋白电泳检测到微弱的kappa轻链,但在一个月后的复检中也不存在。100天骨髓取样的流式细胞检测和IGH深度测序检测微小残留病灶为阴性。IGH深度测序是指每3.11×106个骨髓细胞中恶性浆细胞数小于1。
与患者的在基线取得的几乎全部为恶性浆细胞(估计>95%)的骨髓细胞肿瘤负荷相比,100天中肿瘤负荷减少相对量超过5-log10。移植后12个月,患者血液和尿中没有出现单克隆免疫球蛋白的证据,没有出现多发性骨髓瘤症状或临床征兆。与第一次移植和其他全部现有的治疗相比,移植联合CTL019细胞疗法可更完全、更持久地降低多发骨髓瘤负荷。
CTL019的移植,全身炎症标志物和B细胞再生障碍
输注后第2天到第47天(移植后第61天),通过流式细胞术(以0.3~1.7/立方毫米细胞数或0.1~0.2%外周血总T细胞数)和定量PCR在输在外周血中检测CTL019细胞。在输注后30天(移植后42天)用流式细胞术(0.1%T细胞)和定量PCR在骨髓中检测到CTL019细胞,但在输注后88天(移植后100天)消失(图1B)。CTL019输注后血清干扰素-γ和铁蛋白上升,在输注前血清IL-6浓度升高,并随着体内CTL019水平的降低而下降(图1C)。炎症标志物没有上升到之前使用CTL019引发的细胞因子释放综合征那样的程度。正如预期,B细胞重建与检测到的CTL019丢失相关。通常在多发性骨髓瘤患者接受自体移植后自体T细胞输注后14天检测到B细胞,早期的B细胞再生障碍可能是CTL019和马法兰共同作用而不是大剂量马法兰单独作用。
多发性骨髓瘤细胞CD19的表达
以患者接受自体移植前作为基线进行骨髓穿刺,通过流式细胞术来分析多发骨髓瘤中CD19的表达。可以确定在浆细胞瘤中以CD38+ CD45-免疫表型和kappa 轻链限制性占主导地位(图3)。多发性骨髓瘤浆细胞群体中CD19仅占0.05%(图3A)。微量的CD19+亚群表达细胞内kappa轻链(图3B)和B细胞成熟抗原(BCMA),这是浆细胞特异性标志物(未示出),证实了其作为恶性浆细胞群体的一部分。此外,在CD19+一个小亚群CD45+细胞中检可识别到一小集群Kappa限制性浆细胞(图4,阴影内图片)。基线骨髓样本中其他的CD19+集群包含多克隆CD19 + CD20+ B细胞和小部分CD45 + CD38(阴性)+ CD20-CD19 +轻链阴性细胞,很可能是pro-B细胞或幼稚pre-B细胞(图4)。为了更灵敏地鉴定CD19的表达,我们使用FACS在CD19表达的2个阈值下对占主导的浆细胞集群进行分选(图3A),并且我们通过RT-PCR测定法分析了分选的浆细胞CD19信使RNA(mRNA)的存在。通过流式细胞术检测99.95%骨髓瘤浆细胞为CD19阴性的细胞没有检测到CD19mRNA(图3C)。
讨论
我们报告了1例晚期多发性骨髓瘤患者接受CTL019联合自体移植治疗后,获得持续完全缓解。疾病负荷显著降低和响应的持久性与以往移植治疗的响应相比,尽管有大量的干预治疗和低剂量的马法兰,但仍表明良好的应答是因为CTL019和马法兰的联合使用,而不是单独使用马法兰。正常CD19+B细胞重建和检测到CTL019的丢失提示这种响应不必CTL019持续保持活性。
在大多数情况下,多发性骨髓瘤主要为终末分化的CD19阴性浆细胞,虽然亚群很小,如在从例患者观察到的少量CD19+浆细胞群,可以通过B细胞和浆细胞之间的光谱低分化表型来确定。低分化表型的骨髓瘤细胞可能引发了抗药性,克隆性疾病库通过骨髓微环境结构维持并通过酶蛋白抑制剂治疗富集。因此,针对这些亚群的治疗可能会与常规疗法产生协同作用,并且这一协同作用可用来解释这一报道中的有利反应。本文编译作者爱康得Paul认为这种情况下CTL019的临床相关靶标可能为非肿瘤CD19+细胞,这已牵涉到实体瘤治疗的免疫逃逸和耐受。

图3:恶性浆细胞CD19的表达
图A表示ASCT前取出的骨髓中多发性骨髓瘤浆细胞表面CD19表达(CD38+CD45−门, 左)。框架(右)表示荧光阈值,根据表面CD19的表达,用于多发性骨髓瘤浆细胞荧光激活细胞分选,以分析CD19信使RNA含量。图B表示ASCT前骨髓取样的恶性浆细胞总群体免疫球蛋白轻链的表达(左)和恶性浆细胞CD19+亚群。图C表示健康供体外周血单个核细胞(PBMCs)和ASCT前骨髓取样恶性浆细胞FACS中CD19+亚型逆转录聚合酶链反应分析结果。结果以健康供体外周血单个核细胞CD19+表达为基准并以半对数坐标标注,ND表示未检出。I字形状表示95%置信区间。
这例从CTL019中受益的患者未发生细胞因子释放综合征。之前根据单例患者同情用药协定,我们给一例多发性骨髓瘤患者在自体干细胞移植后2天使用剂量为5×108细胞的CTL019。这例患者获得很好的部分缓解,并经历了CTL019相关的严重细胞因子释放综合征和神经毒性;这些毒性与体内CTL019的强力扩增相关。根据这一毒性反应的结果,以及之前观察到的自体移植后过继输注的T细胞体内扩增的治疗-进度-依赖效应,我们目前的方案是,在接下来的临床试验中使用更低剂量的CTL019,输注定在自体移植后的12,13或14天,而不是在移植后2天。

图4:骨髓穿刺获得的CD19+细胞的特征
从图3可以看出,移植前骨髓穿刺取样经流式细胞术分析表明,多发性骨髓瘤浆细胞群体特征除CD19+外CD38+CD45−占主要部分。分析前,通过设门排除双峰,碎片,T细胞,单核细胞和死细胞(未示出)。CD45+细胞(上排,左图)中发现含有以下CD19+细胞群:多克隆CD19+CD20+ B细胞(最上面一排,中间和右侧图);一小部分浆细胞群体(BCMA+ CD38 +),是CD19+一个亚群并都具有kapaa限制性(阴影内图片),这表明它们是多发性骨髓瘤克隆的一个组份;以及一小群CD45+CD38(阴性)+ CD20-CD19+细胞无免疫球蛋白轻链的表达,最可能是pro-B细胞或幼稚pre-B细胞(第三行左侧和中间图)。BCMA表示B细胞成熟抗原。
10例患者,包括现在所述的这例患者,到目前为止都已经接受了治疗(详见附录中表S1,NEJM.org)。10例中6例仍保持疾病无进展。仅有1例患者出现了CTL019相关性1级细胞因子释放综合征,1例因自体移植物抗宿主反应引发的3级小肠结肠炎。
综上所述,我们报告了1例晚期难治性多发骨髓瘤患者,在经过高剂量马法兰和自体移植后输注CTL019,获得了持久的完全缓解,尽管在绝大多数肿瘤细胞中没有CD19的表达。
原作:Alfred L. Garfall,
英文原文:Chimeric Antigen Receptor T Cellsagainst CD19 for Multiple Myeloma
转载请标明出处: 爱康得生物医学技术(苏州)有限公司医学转化部高级经理Paul Hsu原创编译
爱康得生物医学技术(苏州)有限公司,是一家专注于肿瘤治疗领域高新技术开发及其产业化的生物医学公司。核心团队由多名来自如M.D.Anderson、University of California、University of Oklahoma、Wollongong University和苏州大学等国内外著名高校的抗体工程专家、免疫学专家、病毒学专家、分子生物学家、临床医生以及具备丰富企业管理和资本运作的管理人员组成。公司技术团队已经掌握CAR-T核心技术,可为全球科研工作者和医生提供成套CAR-T科研服务,可在短时间内为客户构建具有功能的CAR-T细胞。
